ЦИКЛАМЕН | ЛЕЧЕНИЕ ГАЙМОРИТА - YouTube
Хронический гайморит можно вылечить | Gezond
Цикламен: уход в домашних условиях, пересадка и...
Blog Posts - therapyprecept
Гайморит: симптомы; хронический; как лечить дом...
Гайморит: симптомы, причины и лечение запаления...
Гайморит Лікування і профілактика ️Як Вилікуват...
Гайморотомия. Антротомия - презентация онлайн
Цикламеновые капли - надёжный рецепт от гаймарита
Гайморотомия. Реабилитация после операции гаймо...
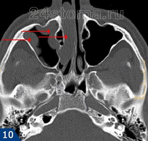
Гайморотомия - хирургическое лечение гайморита
Капли Цикламен от гайморита: лечение, отзывы
Хронический гайморит. Гематома.
Лечение аллергического гайморита цикламеном - Y...
Справляемся с гайморитом по Аюрведе: симптомати...
Корень Цикламена От Гайморита Купить В Аптеке —...
Гайморит – симптомы, лечение в домашних условия...
Что делать при гайморите
ЧТО ДЕЛАТЬ ПРИ ГАЙМОРИТЕ - YouTube
Лечебные свойства цикламена | Блог о здоровье, ...
Цикламен европейский - лучшее средство от гемор...
Гайморит: симптомы, признаки причины, последств...
Болезни цикламенов с фото и их лечение
Операция гайморотомия - презентация онлайн
Гайморотомия. Антротомия
Воспаление верхнечелюстной пазухи гайморит - пр...
Цикламен от гайморита