Желтолоз, ива пурпурная (Salix purpurea) - Ланд...
Ива Эритрофлексуоза. Садовита
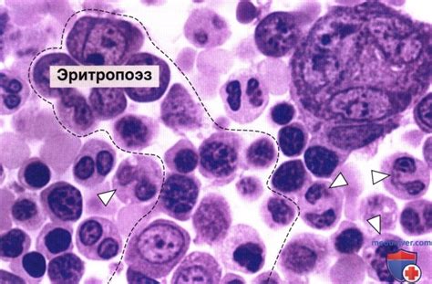
Эритропоэз. Регуляция эритропоэза
Ива Матсудана Эритрофлексуоза (змеевидная) саже...
Ива Матсудана купить в питомнике с дсотавкой
Ива козья - суставы, тромбозы, иммунитет, инфек...
Eritropoeza - Zdravlje
Erythrophysa transvaalensis - Изображение особи...
Ива золотистая `Эритрофлексуоза`, Salix sepulcr...
Ерітропоез: поняття, принципи, що стимулює та в...
Ива Вавилонская Тортуоза (74 фото) - фото - кар...
Ива обыкновенная Эритрофлексуоза. Краткий обзор...
Ива
Эритропоэз. Дифференцировка эритроцитов
Ива Матсудана Эритрофлексуоза (Salix matsudana ...
Ива Матсудана змеевидная (77 фото) - фото - кар...
Ива Эритрофлексуоза: описание сорта, характерис...
Ива матсудана Эритрофлексуоза C20 H120 см купит...
Ива матсудана – извилистая ива в интернет магаз...
Ива Матсудана Эритрофлексуоза по цене 24.2 руб....
Эритроциты , Эритропоэз
Ива золотистая (Salix sepulcralis "Erythroflexu...
Эритропоэз - презентация онлайн
Ива египетская | это... Что такое Ива египетская?
эритропоэз